2022年3月10日,由九州ku酷游科技控股子公司元心科技(深圳)有限公司自主研发的创新产品——IBS®可吸收药物洗脱冠脉支架系统(以下简称IBS®冠脉支架)在云南省阜外心血管病医院顺利完成中国确证性临床研究首例受试者入组。这是九州ku酷游科技在铁基生物可吸收材料研发历程中又一个令人欣喜的重大里程碑,进一步推动了该全球首创产品的商业化进程。
本次确证性临床研究以云南省阜外心血管病医院为组长单位,由高润霖院士担任主要研究者(PI),徐波教授担任协调研究者(CO-PI),俞梦越教授担任组长单位执行PI,计划在全国40余家中心开展临床验证工作。旨在基于IBS®冠脉支架FIM临床(可行性临床研究)良好数据的基础上,进一步评估其安全性和有效性,为其在中国注册上市提供更为全面的临床依据。
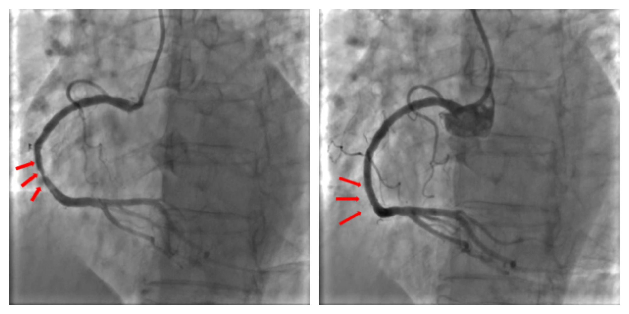
IBS®冠脉支架中国确证性临床研究的首例受试者入组由俞梦越教授率其团队顺利开展。术中冠脉造影提示:单支血管病变,右冠中段狭窄80%,在光学相干断层成像(OCT)指导下,成功完成靶血管的血运重建,右冠中段植入1枚支架,术中无任何并发症发生,达到预期治疗效果,患者术后生命体征平稳。


十六年潜心研发
全球首款全降解铁基可吸收冠脉支架
IBS®冠脉支架基体由高强度和高塑性的高纯渗氮铁管加工而成,支架壁薄(支架杆总壁厚仅为70-80μm)且支撑力强。创新的材料研究和独特的技术路径,使IBS®冠脉支架既保留了永久金属冠脉支架规格齐全、物理性能优越、生物相容性好、操作简单等优点,亦兼具完全可吸收的特性。其在完成对血管的有效支撑后(即植入后3-6个月后)便开始降解,于2年左右安全进入降解尾声,最终被人体组织所无害吸收,从而能够有效避免植入永久支架可能带来的一系列远期预后问题。

此前,IBS®冠脉支架的FIM临床两年期随访结果已初步表明其在简单原发性冠脉病变中具有良好的中期安全有效性。此次IBS®冠脉支架确证性临床研究首例受试者成功入组,将为其临床试验的稳步推进注入更多信心,后续将会有更多的循证医学证据进一步证实该产品的安全性和有效性。IBS®冠脉支架在成功上市后,将为国内冠心病患者带来前所未有的治疗方式,同时也将为其进入全球市场奠定坚实基础。